Tratamientos mínimamente invasivos con planificación digital y más de 30 años de experiencia en estética dental.
Descubre cómo hemos transformado la sonrisa de nuestros pacientes con resultados naturales y personalizados.










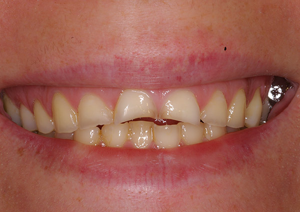
Muchas personas evitan sonreír con naturalidad por problemas estéticos en los dientes.
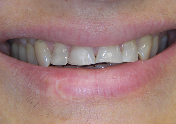
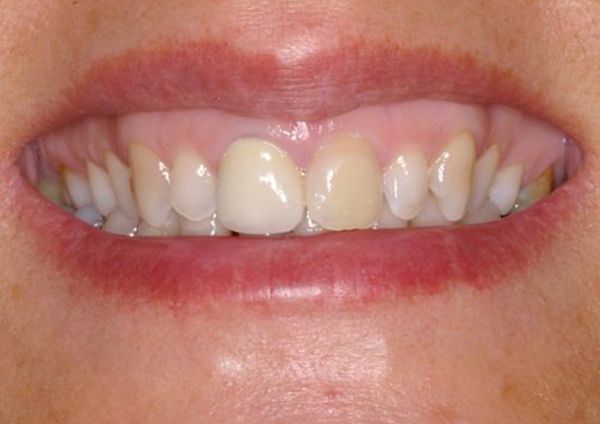
Las carillas dentales permiten mejorar la forma, el color y la armonía de la sonrisa de forma rápida y natural.
Las carillas dentales son una solución estética que permite mejorar la forma, el color y la armonía de tu sonrisa de manera rápida y con resultados muy naturales.
En Clínica Udaeta trabajamos con técnicas mínimamente invasivas, respetando al máximo el diente natural y adaptando cada tratamiento a las características de tu rostro.
Gracias a la planificación digital previa, podrás ver cómo será el resultado antes de empezar, asegurando una sonrisa que encaje contigo desde el primer momento.
Además, el tratamiento se realiza en solo dos visitas, con resultados visibles en pocos días y sin molestias en la mayoría de los casos.
1
Valoramos tu caso, resolvemos tus dudas y te explicamos el tratamiento de forma clara y personalizada.
2
Realizamos una prueba para que puedas ver cómo quedará tu sonrisa antes de empezar.
3
En solo dos sesiones conseguimos un resultado natural y adaptado a ti.
Antes de realizar el tratamiento, realizamos un diseño digital de la sonrisa que permite al paciente ver cómo quedará el resultado final.
Esto permite:
Planificar el tratamiento con precisión
Ajustar el diseño según preferencias
Tomar decisiones con confianza.
creando sonrisas naturales
Resultados visibles en pocos días
Visualiza tu sonrisa antes de empezar

UrbanAcres, LLC
“My move was way less stressful than expected! Movely packed everything, stored it for a week, and moved it all to my new home just as promised!”

H&H Legal Partners
“Movely provided a very professional service when we moved offices last month. They were easy to work with and moved everything on time.”

SavvyMarket
Best experience ever! I desperately needed a mover to help with a last minute relocation, and Movely was so helpful in making it a seamless process!”
Resolvemos las dudas más comunes sobre el tratamiento de carillas para que tomes tu decisión con total confianza. ¿Necesitas más información? Llámanos al 631-696-7601 y te asesoramos sin compromiso.
No, al contrario. Protegen el diente y mejoran su estética.
Con un buen mantenimiento pueden durar 20 años o más.
No. En pacientes sensibles se puede utilizar anestesia.
No, las carillas de porcelana no se tiñen con alimentos.
Solicita tu primera visita gratuita y descubre cómo mejorar tu sonrisa con carillas dentales.
Casanova 266, baixos Barcelona
info@clinicadeudaeta.com
93 845 60 86
631-696-7601